Dental crowns - Enhancing protection for damaged teethEnquire now

Restore your smile with tooth crowns at mydentist

At mydentist, we're passionate about helping our patients feel more confident about their smile. Dental technology has come a long way since humans used ivory and bone to restore damaged teeth, but dental crowns remain a fantastic way to repair and protect teeth; that’s why we offer a range of crown options to suit the individual needs of every patient.

What are crowns?

A dental crown is a custom-made dental restoration that is used to cover or encase a damaged or weakened tooth. It is also commonly known as a dental cap. The crown is designed to resemble the shape, size, and colour of the natural tooth, providing both aesthetic improvement and functional support.

What are crowns typically used for?

Dental crowns are typically used for the following purposes:

  • Protection: When a tooth is cracked, fractured, or severely decayed, a crown can be placed over it to protect it from further damage.
  • Restoration: Teeth that have undergone root canal treatment may become weak and brittle. Placing a crown over the treated tooth helps to restore its strength and functionality.
  • Aesthetic enhancement: Crowns are used to improve the appearance of teeth that are discoloured, misshapen, or have significant cosmetic issues.

What types of crowns are available?

All metal

If you have a back tooth that needs restoring, an all-metal crown made of silver or gold might be the best choice for you. These types of crowns are highly durable and functional, and ideal for back teeth where aesthetics are less of a concern.

Metal and porcelain

For a more natural appearance, you might consider a metal and porcelain crown. The metal core provides strength, while the porcelain gives it a natural look. Precious metals, such as silver and gold, are usually used, but you can talk with your dentist about the best option for you.

All ceramic

These crowns look the most like natural teeth and are perfect for front teeth, where aesthetics are usually a priority. They may be more expensive, but they offer excellent durability and longevity alongside the natural look.

What are the benefits of dental crowns?

Dental crowns, sometimes known as caps, offer several benefits for restoring and enhancing your teeth:

1

Improved appearance

They improve the appearance of teeth that are discolored, misshapen or have significant cosmetic issues.

2

Durability

Crowns are made from strong materials such as metal alloys, porcelain fused to metal, or all-ceramic, providing long-lasting solutions for dental restoration.

3

Versatility

They can be used for various dental issues, including protecting a weak tooth, restoring a broken tooth or covering and supporting a tooth with a large filling.

4

Protection

Crowns encase damaged or weakened teeth, safeguarding them from further harm and restoring their strength, which is particularly beneficial after procedures like root canal treatment.

Dental crown results

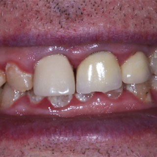
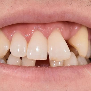
  • Dental crowns case study 01 beforeBefore
  • Dental crowns case study 01 afterAfter
  • Dental crowns case study 02 beforeBefore
  • Dental crowns case study 02 afterAfter

Dental carowns FAQs

Will It hurt?

No, when performed correctly by our expert dentists, having a crown fitted should be totally painless. We'll use a local anaesthetic to ensure you're comfortable. The procedure usually takes place over 2 visits and if necessary, a temporary crown will be provided between visits.

Are tooth crowns safe?

Absolutely. We only use safe, clinically-approved materials and laboratories which adhere to all relevant standards. Whether you’re looking for gold-capped teeth or porcelain pearly whites, you can be confident that your crown will be completely safe.

Can I afford a tooth crown?

We believe everyone deserves the best dental care, which is why we offer competitive pricing via our {my}options scheme and finance options* to help spread the cost. Speak to your local {my}dentist practice to learn more.

How do I look after my dental crown?

Taking proper care of your dental crown is essential to ensure its longevity and maintain good oral health. Here are some tips on how to look after your dental crown:

  • Practice good oral hygiene: Brush your teeth at least twice a day and clean between your teeth on a daily basis.
  • Be gentle with your crown: Avoid chewing on hard or sticky foods, and don’t use your teeth as tools to open packages or bottles.
  • Avoid clenching or grinding: If you have a habit of clenching or grinding your teeth, especially during sleep (bruxism), ask your dentist about a mouthguard to protect both your natural teeth and the dental crowns.
  • Maintain regular dental check-ups.
  • Watch for signs of problems & address any issues promptly.

Remember, while dental crowns are durable and designed to withstand normal biting and chewing forces, they are not indestructible. With proper care and regular dental check-ups, your dental crown can last for many years and keep your smile healthy and functional.

Rediscover your smile with mydentist crowns

Don't let a damaged or discoloured tooth knock your confidence; dental crowns are a simple but effective way to restore your teeth and bring your smile back to life.

Find your closest dental practice here

* Whitecross Dental Care Limited (registered office: Europa House, Europa Trading Estate, Stoneclough Road, Kearsley, Manchester M26 1GG. Company No. 244415) is part of the mydentist group. Whitecross Dental Care Limited is a credit broker not a lender and is authorised and regulated by the Financial Conduct Authority with registration number: 674183. Credit is provided by Secure Trust Bank PLC trading as V12 Retail Finance with whom we have a commercial relationship (and so we are unable to provide independent advice) and is subject to age and status. Minimum spend applies. Not all products offered by Secure Trust Bank PLC are regulated by the Financial Conduct Authority.